Hopp til innhold
Bokmål

Fag

Oppgave

Forsøk: Utforsk egne celler

Lag et mikroskoppreparat av epitelceller fra innsiden av kinnet ditt, og bli kjent med oppbygning og indre struktur hos dyreceller.

Hensikt

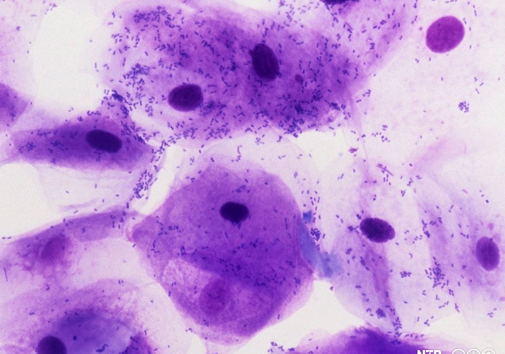
Bli kjent med oppbygning og indre struktur hos dyreceller ved å studere egne epitelceller. Disse cellene er i utgangspunktet fargeløse, men vi tilsetter fargestoff for å få bedre kontrast.

Utstyr

  • bomullspinner

  • objektglass
  • dekkglass
  • filterpapir
  • 1 %-løsning metylenblått eller fortynnet jod-løsning
  • dråpeteller
  • mikroskop

Framgangsmåte

  1. Skrap forsiktig med en bomullspinne på innsiden av kinnet.

  2. Rull bomullspinnen på et objektglass slik at cellene fra munnhulen blir overført til glassflaten.

  3. Drypp en dråpe fargeløsning på objektglasset og senk dekkglasset over preparatet.

  4. Bruk et filterpapir til å trekke ut overflødig farge.

  5. Studer preparatet i mikroskopet. Start med den laveste forstørrelsen og øk forstørrelsen når du har fått et skarpt bilde.

  6. Tips! Bruk blender og kondensor slik at du får se flest mulig detaljer.

  7. Ta gjerne bilder med mobiltelefonen gjennom okularet.

Alternativ metode:

Skrap forsiktig med bakenden av en tannpirker på innsiden av kinnet. Rør med tannpirkeren i en dråpe metylenblått på et objektglass. Legg på dekkglass.

Resultater og videre arbeid

  1. Prøv å identifisere ulike organeller og cellestrukturer, og sett på navn. Du kan enten bruke bildene du har tatt, og sette navn på de ulike strukturene der, eller du kan lage en skisse som du skriver på.
  2. Hvilken funksjon har de ulike organellene og cellestrukturene? Noter ned noen stikkord for hver struktur.
  3. Hva er karakteristisk for dyreceller?
  4. Fikk du observert alle strukturene som bygger opp en dyrecelle? Begrunn svaret ditt.
  5. Beskriv epitelcellenes fasong, og beregn størrelsen på dem. Ved hjelp av millimeterpapir kan du finne størrelsen på synsfeltet du har gjennom mikroskopet. Dette er et godt hjelpemiddel for videre å finne størrelsen på cellen du observerer.
  6. Munnhulen inneholder ikke bare dine egne celler, men også bakterieceller. Kan du finne bakterier i preparatet ditt? Beskriv forskjellen på de to celletypene i størrelse og utseende.

Tips!

Dette er en fin aktivitet å kombinere med Forsøk: Utforsk planteceller for å sammenlikne og forstå forskjellen på de ulike eukaryote cellene.

Relatert innhold

Skrevet av Kristin Bøhle og Camilla Øvstebø .
Sist oppdatert 06.05.2021